El ve kol bölgesinde ortaya çıkan uyuşma, karıncalanma ve güç kaybı, günlük yaşamı zorlayan en yaygın şikayetlerden biridir. …
El ve kol bölgesinde ortaya çıkan uyuşma, karıncalanma ve güç kaybı, günlük yaşamı zorlayan en yaygın şikayetlerden biridir. …
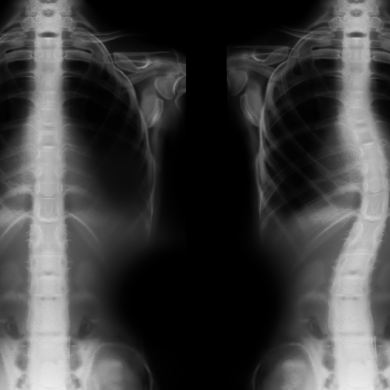
Omurga sağlığı çoğu zaman günlük hayatın içinde fark edilmeyen fakat yaşam kalitesini önemli ölçüde etkileyen bir konudur. Skolyoz …
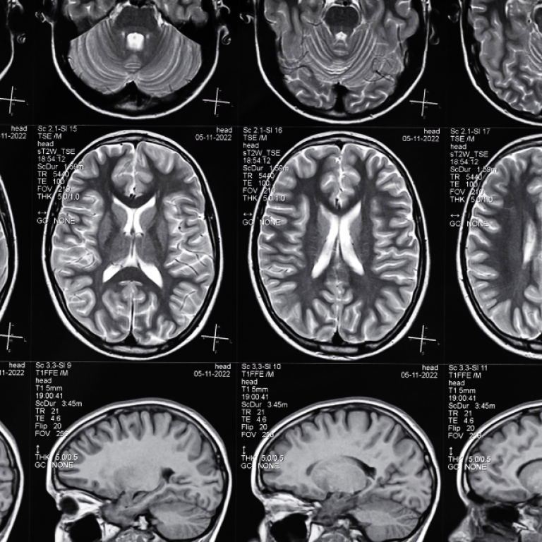
Beyin ve omurga cerrahisi insan vücudunun en hassas bölgelerine müdahale etmeyi gerektirir. Sinir dokusu milimetrelerle ifade edilen alanlar …
Kafa travmaları, ani bir darbe veya çarpma sonucunda ortaya çıkan ve beyin ile kafatasını etkileyebilen durumlardır. Hafif sarsıntılardan …
Omurga kaynaklı ağrılar, bel ve boyun fıtıkları, dar kanal sorunları ve sinir basıları günlük yaşamı ciddi şekilde etkileyebilir. …
Beyin tümörleri, beynin kendi hücrelerinden kaynaklanan veya vücudun başka bir bölgesinden yayılan anormal hücre büyümeleridir. Bazıları yavaş ilerler, …
Bel fıtığı, bel bölgesindeki omurlar arasında yer alan disklerin yapısının bozulması ve sinir köklerine baskı yapmasıyla ortaya çıkan …